-
您当前所在位置:
- 首页 >
- 星空体育(StarSky Sports)官方网站 >
- 行业新闻
【病例分享】UBE (OLIF cage)内镜下的融合
来源:星空体育(StarSky Sports)官方网站科技 编辑:星空体育(StarSky Sports)官方网站科技 发布时间:2021-06-17
随着腰椎镜下融合多样化,内窥镜下融合TLIF存在cage的接触面窄,体积小,稳定性差,支撑力不足,容易导致cage的移位和下沉等
问题。单边双通道(UBE)随着医疗器械的改进和技术的创新,通过Kambin三角植入OLIF cage接触面广、支撑力和稳定性强,大大提高了融合率。
问题。单边双通道(UBE)随着医疗器械的改进和技术的创新,通过Kambin三角植入OLIF cage接触面广、支撑力和稳定性强,大大提高了融合率。
以下和大家分享一例由驻马店正骨医院脊柱外科吴鹏院长及其团队完成的一例腰椎手术。
【病例基础信息】
【患者情况】:女性、68岁,职业:农民
【主 诉】:腰痛12年加重伴双下肢疼痛、麻木1年
【诊 断】:1.腰椎管狭窄症(L4/L5); 2.腰椎间盘突出症(L4/L5); 3.腰4椎体滑脱(II度)
【术前计划】:通过影像等相关检查,明确诊断,根据诊断确定手术方式:经内镜下行腰4/5椎间盘切除、椎管扩大减压、椎间植骨融合复位、经皮椎弓根螺钉单侧内固定术
【拟行手术名称】:UBE镜下腰4/5减压融合固定术
【麻醉方式】:全麻
【术 者】:吴鹏、张国民、蔡春雨、王旭光
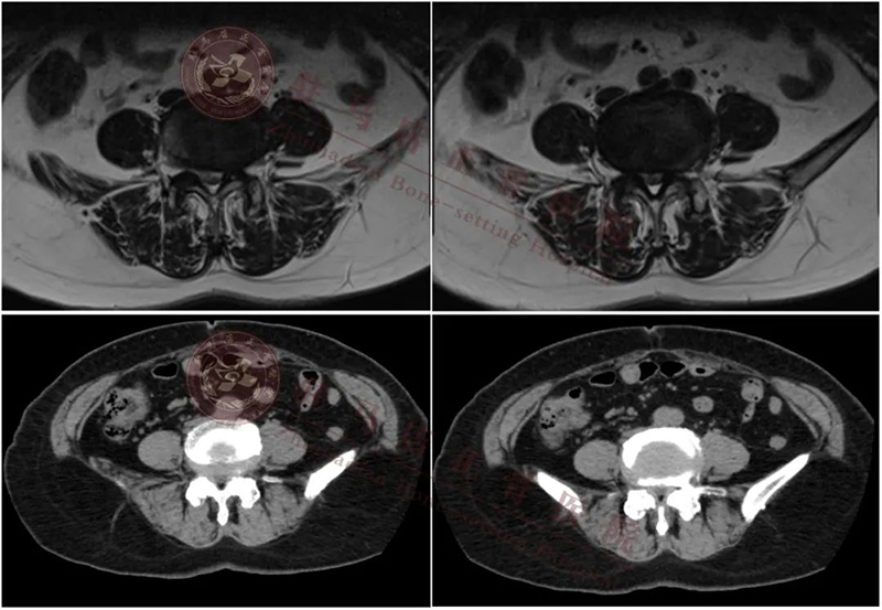
{ 术前 }



{ 术中 }

术中定位

镜下测量神经根距离

术中减压范围

植入cage

cage横打的位置


术中操作
{ 术后 }



术后影像

术中定位

镜下测量神经根距离

术中减压范围

植入cage

cage横打的位置


术中操作
{ 术后 }



术后影像

【此例手术使用北京星空体育(StarSky Sports)官方网站公司研发的UBE器械及相关产品】
【手术经验分享】
➢ 大cage减少融合器下沉及后移
➢ 患者术后早期活动,椎间隙大cage支撑会更稳定
➢ 大cage,可以单边钉棒固定,减少对侧椎弓根及软组织损伤,节约钉棒费用
➢ 大cage可以不用异体骨
➢ 学习曲线陡峭,有一定的难度
➢ 对患者有选择性
➢ 术前要测量数据引入术中,术中测量安全范围,充分保护硬膜及出、行走神经
➢ 减压要充分,切除整个同侧下椎板及关节突,同时切除上关突内侧及关节突部分切除
➢ 充分暴力安全三角范围,根据术中测量数据选择大的cage
➢ 术中终板处理要求严格,要尽量往对侧处理
➢ 术中椎间隙首选在cage植骨要尽量往前及同侧植入
【驻马店正骨医院简介】

驻马店正骨医院是一所集骨病创伤、康复、疼痛为特色的二级中西医结合骨科诊疗机构,设有脊柱、关节、骨微创科、创面修复科、康复疼痛科、麻醉手术科、急诊急救科等临床科室,是以微创为核心,以脊柱、关节为特色,中西医治疗相结合,开展颈椎前、后路及胸、腰椎开放及微创手术,尤其颈、腰椎内镜微创手术,在豫南地区率先开展,已达到业内领先水平。我院在2019年率先开展双通道内镜技术(UBE)治疗腰椎间盘突出和腰椎管狭窄症,截至目前完成UBE手术1000余例,镜下融合400余台。关节外科以微创为基础,开展各种关节镜治疗腕、肘、肩、髋、膝、踝关节等各种关节内疾病,微创全髋关节置换、全膝置换治疗股骨头坏死、膝骨性关节炎,取得了良好的效果,赢得了广大病友的信任。