-
您当前所在位置:
- 首页 >
- 星空体育(StarSky Sports)官方网站 >
- 行业新闻
【产品介绍】皮外导板辅助经皮椎弓根螺钉置入治疗多节段...
来源:星空体育(StarSky Sports)官方网站科技 编辑:星空体育(StarSky Sports)官方网站科技 发布时间:2022-03-17
皮外导板辅助经皮椎弓根螺钉置入治疗多节段胸腰椎骨折
皮外导板
01技术背景
![]()
预期达到的效果:
1.术前测量的角度在手术中落实;
2.多枚导针同时穿刺、减少透视次数;
3.进钉点和方向便于客观调整、减少透视次数;
4.导板设计为通用型,减少术前设计时间,便于普及;
5.降低手术学习曲线,使之能够在基层医院普及.
02设计思路
■术前钉道设计
![]()
■皮外导板设计
![]()
■皮外导板的组装和C臂透视
![]()
临床应用
■术前——钉道的测量与模拟置钉
![]()
■术中——椎体的体表定位
![]()
■术中——导板的组装、定位以及透视下的图像
![]()
■术中——分离导板后,空心螺钉置入、撑开复位
![]()
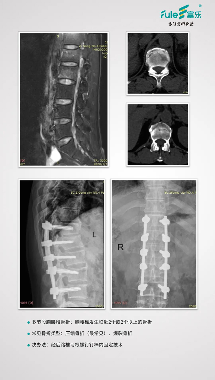
■术后——复查X片、CT,评估手术效果
![]()
产品介绍
![]()
专利
![]()
专家简介